Stop Hiding
Your Smile.
Start Living Again.

Learn about the system that gave over 400 everyday people their confidence back.

5 stars out of 117 reviews
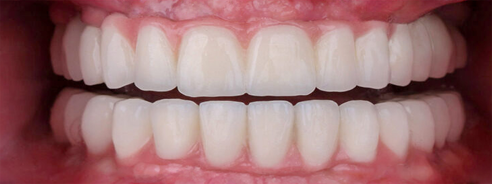
What We Do

Solutions Built Around Your Smile

We can rebuild your smile, whether you're missing one tooth or need a full-arch restoration. We focus on precision and comfort. From All-on-4®, All-on-6, and All-on-X to zirconia implant bridges and cosmetic makeovers, we customize your treatment plan. We use modern technology and a focused restorative approach tailored for you.

Behind Your New Smile

See How It's Done 👉🏼👇🏼

Dr. Tarek Hussein, DDS
Meet the Doctor

Dr. Tarek Hussein, DDS

Dr. Hussein graduated from the University of Buffalo School of Dental Medicine in 2018. Since then, he has helped hundreds of people get the smile they always wanted. He uses the latest dental technology and treats every patient as an individual. He will walk you through all your options and answer every question you have. His goal is simple. He wants you to leave better than you came, even if you choose someone else.

Patient Testimonials

Wondering what a new smile feels like?

Hear directly from real patients about their experience, their comfort, and their results.

Reviews

What our patients say

Paul L.
San Francisco, CA

Passion, modern techniques and equipment, clean office and friendly staff. I'm very happy with my dental implant – it's so important for your health, especially for seniors. Come see for yourself and compare with a regular dentist. Free consultation and special promotion: $2,495 per implant.

Dec 16, 2025
Shalim O., dental implant patient at ARC Dental
Shalim O.
Rialto, CA

I had dental implants done by Dr. Tarek and the whole experience was excellent. He's very skilled, gentle, and took the time to explain every step. The results look natural and feel great. The office is clean, the staff is friendly, and you can tell he really cares about his patients.

Oct 7, 2025
Ashley T.
Downey, CA

ARC Dental Implant Center is the best place to have dental work done. Dr. Hussein and Elizabeth walked me through the whole process when I was nervous about my procedure and made me feel at ease. My experience here was outstanding. This is the only place I will have dental work done.

Oct 7, 2025
Ishaq H., dental implant patient at ARC Dental
Ishaq H.
Grand Terrace, CA

This is a wonderful practice and Dr. Hussein listened to all my concerns. He takes his time and doesn't rush to get you in and out. Very professional with great work. Absolutely amazing service and I will recommend him to all my family and friends.

May 29, 2025
Dan T.
Huntington Beach, CA

I really appreciate how Dr Tarek made me feel comfortable. He really took the time to explain everything to me thoroughly and that made all of the difference for me. The level of care Dr Tarek has for his patients is immense and it shows. I would like to recommend him to anyone that needs implant treatment, even just a consultation will help worth your time.

Oct 31, 2025
Lisa E.
Huntington Beach, CA

Dr. Tarek and Lizz were amazing!! Loved the experience from beginning to end!! They made the process for my implants soo smooth! I can't thank this team enough!! I will be sending all of my friends and family to ARC Dental Implant Center.

Nov 30, 2025
Samah H.
Tustin, CA

My first visit to ARC Dental Implant Center was wonderful at the front desk Angelica was respectful she greeted me in, asked me about my morning and made me feel at ease because I was nervous from getting work done on my teeth. The staff are very respectful the office is clean easy to get to, Dr. tarek has a lot of knowledge he gave me lots of recommendations on what I need to do with my smile he's respectful and very patient. This is a place to come if you need any kind of implant treatment. I wouldn't go anywhere else!! Best team, best doctors!!

Nov 30, 2025
Rocio G.
Tustin, CA

ARC Dental Implant Center has the best staff!!! From entering the facility all the way through the end Angelina and Lizz were so amazing, caring and loving. Dr. Hussein took his time with me, listening to all of my concerns and explaining everything to me. I'm super impressed of the outcome of my initial visit went, I highly recommend this office and you wont be disappointed. Thank you again.

Oct 31, 2025
Aerin B.
Laguna Beach, CA

Doctor tarek and Lizz's services were amazing!! They made the experience so smooth and easy and i really appreciate the care they gave. The office was super clean and very modern! Xrays used to be my worst nightmare but with the 3d xray she took, I am no longer fearful!! Thank you this amazing team!! 10/10 recommend!!

Oct 31, 2025
Anwar Z.
Laguna Beach, CA

I got my dental implants done by Dr. Tarek, and honestly, it's one of the best decisions I've ever made. I used to feel so self-conscious about my smile, but now I can't stop smiling. He was patient, gentle, and truly cared about making everything perfect. The results look so natural — it's life-changing. I'm so grateful for Dr. Tarek and his amazing team!

Oct 31, 2025
Sara M.
Huntington Beach, CA

Dr Tarek, Lizz and the whole staff were so kind and compassionate. They really made my daughter feel comfortable throughout the whole process and took great care of her. What started as an awful softball injury, ended as an amazing experience with beautiful results.

Oct 31, 2025
Rick E.
Laguna Beach, CA

Hands down the best dental office i have ever been to. DR Tarek and Lizz are an outstanding team. They answered all my questions and really helped me understand the whole implant process. Really looking forward to my new smile and I just know the results will be fantastic. 10/10 recommend.

Nov 30, 2025
Angel T.
Long Beach, CA

Great experience from beginning to end. Dr. Tarek and Lizz were so great, and the office was clean and up to date with the latest technology. Surgery day can't come soon enough. I'll be sending all my friends to ARC Dental Implant Center.

Nov 9, 2025
Tawnya O.
Downey, CA

Amazing staff and friendly service. I will definitely be returning for my dental needs.

Oct 7, 2025
Roya Z.
Irvine, CA

Dr. Tarek Hussein is an exceptionally knowledgeable doctor with impeccable work. I highly recommend him for his expertise and outstanding care.

Sep 19, 2025
Santos C.
Tustin, CA

Lizz was really great and very helpful! She made the process so smooth and Dr Tarek was beyond amazing. Great team and really appreciate the level of care they have. I will forever be there patient.

Nov 30, 2025
Anne L.
Laguna Beach, CA

My dad needed some implants done and I've never looked into anything like this before so I was pretty lost on where to start. Elizabeth was very helpful in providing all the information. It was easy to make an appointment. They serviced him quick and promptly and now his smile looks better than ever! Thank you Elizabeth for making sure my dad was well taken care of!

Nov 30, 2025
Ricky E.
Newport Beach, CA

Lizz is so helpful. She really made me comfortable in a setting I am never comfortable in. And Dr. Tarek was just as great. I haven't smiled in years and now I can't stop! So greatful for this team and I will be making sure everyone I know who needs implants goes to ONLY this office.

Nov 30, 2025
Crystal M.
Tustin, CA

Lizz and Dr. Tarek were so patient and explained the implant process thoroughly. I left very well informed and felt so comfortable. I appreciate the calmness and the look/feel. Will continue to recommend.

Oct 31, 2025
Annick L.
Newport Beach, CA

Dr Tarek is so amazing. I can't tell you how grateful I am that he takes such good care of his patients. He is so genuine, caring and sweet. If you truly want great care, ARC Dental is the place!

Oct 31, 2025
Lizz O.
Laguna Beach, CA

Dr. Tarek is one of the best dentists!! So thorough, and thoughtful! He didn't leave a single question unanswered and made the whole experience so comfortable!! But if you're looking for all around great care, ARC Dental Implant Center is the place!! The entire staff took great care from beginning to end. 10/10 recommend!!

Sep 30, 2025
Amber O.
Irvine, CA

Amazing dental team! Lizz, the dental assistant, was so kind and attentive! She made me feel completely at ease. The whole staff is professional and friendly, and the office is spotless. Definitely a 5-star experience!

Nov 30, 2025
Ann O.
Huntington Beach, CA

Dr Tarek and Lizz were beyond helpful. The implants I get placed will be so graced. So helpful and grateful. And I'm beyond excited. Thank you ARC Implant Dental Center!! You guys are the best!

Nov 30, 2025
Sharif H.
Tustin, CA

Great experience at ARC Dental. Friendly staff and clean office. Dr. Tarek was amazing, very knowledgeable and professional. I'll absolutely be coming back and will be sending all my friends and family.

Nov 30, 2025
Ali S.
Huntington Beach, CA

These guys are the best in here. Dr Tarek and his girls (Liz and Angie) in the office are always friendly and attentive. Dr Tarek makes you feel comfortable and explains every step and how it's going to work out. At the end I'm extremely happy with my smile once again. Also I hear they are doing regular dental cleanings and cavity services now so I'm coming here for all my dental appointments and needs.

Feb 29, 2026
Yasmeen A.
Huntington Beach, CA

Arc dental center is the place to be! Dr tarek is such an amazing doctor, he talked me through the process of doing my implants. Made me feel very comfortable and less nervous about my surgery. The office is very clean and smells so fresh!

Nov 30, 2025
Kedsi T.
Irvine, CA

I had a dental implant placed here and I couldn't be happier with the entire experience! From the first consultation to the final follow-up, the dentist and staff were professional, kind, and thorough. They explained every step clearly and made sure I was comfortable throughout the process. The results look natural, my bite feels perfect, and I can eat normally again without any discomfort. I highly recommend them to anyone needing dental implants.

Jan 31, 2026
Michele K.
Tustin, CA

We went to Dr. Tarek for my Husband implants which were very affordable and done right, not like these other places that put the permanent teeth on immediately. The process takes time for your gums to heal and the inflammation to go down so the teeth fit correctly and you're not left with a lisp. Dr. Tarek and staff are very knowledgeable and friendly. Will be going ARC Dental for all our dental work now.

Feb 29, 2026
Ahlam A.
Tustin, CA

ARC Dental Implant Center has been incredible from start to finish. A friend recommended them, and from the moment I walked in, Angelica made me feel so welcomed and comfortable. I had a tooth extraction and implants done with Dr. Tarek, and his patience, gentleness, and attention to detail truly stood out. I used to feel self-conscious about my smile, but he explained everything clearly, made the process easy, and the results look completely natural. The office is clean, modern, and the entire team is caring and professional. I'm so grateful for my experience here and highly recommend ARC Dental!

Nov 30, 2025
Rosie G.
Tustin, CA

Everybody is so nice! My implants came out excellent, I couldn't be happier. The staff is so nice and Dr. Tarek is very kind, it really made a difference. Thank you Arc Dental Implant Center for such great care! I will recommend all of my friends and family!

Jan 31, 2026
Manjit R.
Huntington Beach, CA

I had an amazing experience at ARC Dental Implant Center! From the moment I walked in, I was greeted by Angelica at the front office, who was incredibly warm and welcoming. She made the whole check-in process smooth and stress-free. The entire team was professional, attentive, and truly cared about making me feel comfortable. The facility is modern and clean, and I felt in great hands throughout my visit. Highly recommend ARC Dental for anyone needing top-notch care in a friendly and inviting atmosphere!

Oct 31, 2025
Mary F.
Laguna Beach, CA

Lizz and Dr Tarek were an amazing team! They have answered so many questions of mine and took such great care of me. I have never seen such a dental office that cares as much as they do. From beginning to end I was really impressed! Thank you so much Arc Dental Implant center, I can't explain enough how much the care means to me and I can't wait for my surgery.

Nov 30, 2025
Yousef A.
Huntington Beach, CA

I couldn't be happier with my implant! The whole process was smooth from start to finish. The team was professional, caring, and explained every step clearly. The results look and feel completely natural, and the recovery was faster than I expected. I feel so much more confident now. Highly recommend to anyone considering an implant worth every penny! Thank you Dr Tarek! Only place I would go for my dental implants!

Nov 30, 2025
Aye B.
Laguna Beach, CA

Outstanding care and a smooth recovery. I want to extend my deepest gratitude to the incredible team at ARC Dental for the exceptional care I received throughout my recent surgery. From the moment I walked in, I felt welcomed, informed, and truly cared for. Dr. Tarek and the entire staff were not only highly skilled, but also compassionate and reassuring every step of the way. They took the time to explain the procedure clearly, answered all my questions, and ensured I was comfortable and confident going into surgery. The surgery itself went smoothly, and my recovery has been better than I expected, all thanks to the meticulous work and post-op guidance I received. It's rare to find a team that combines professionalism with such genuine kindness, but ARC Dental does just that. Thank you again to everyone at ARC Dental for making what could have been a stressful experience feel safe, seamless, and even uplifting. I highly recommend them to anyone seeking top-quality dental care.

Oct 31, 2025
Sergio M.
Newport Beach, CA

Ive been seeing Dr Hussein for some years now and has been the the only dentist I can trust. He is meticulous, explains everything he is doing and why and dedicated to his craft. His staff is amazing and I feel like I am talking to a friend more than I am a dentist. His tooth work is amazing and understands and cares about all the aspects of your appearance that a better smile can improve beyond the nicer teeth. I would not go anywhere else, Really cant thank the ARC dental group enough.

Nov 30, 2025
Checo F.
Huntington Beach, CA

Irene, Edna, Carolina, Dr. Hablani have been nothing short of amazing. They're all very attentive. Answer all questions and welcome all questions no matter how dumb I may think the questions are. They're like the support sisters I never had! Haha! Thank you ladies & thank you Comfort Dental Spa for such a great experience and look forward to finish my invisalign treatment with you folks!

Nov 30, 2025
How it works

Five Steps to the Smile You've Always Wanted

  1. Free consultation

    We start with a no-cost visit, take 3D scans, and show you a digital preview of your new smile before anything begins.

  2. Pain-free procedure

    Nervous about dental work? We offer gentle sleep sedation so you feel nothing. Most patients are shocked by how easy it is.

  3. Test drive your smile

    You go home with temporary teeth first. See how it looks and feels. We adjust anything you want before going final.

  4. Final smile placed

    Your custom smile is put in place. Natural-looking, beautiful, and made just for you.

  5. We're here for you

    We follow up after your visit to make sure everything feels great and walk you through keeping your smile beautiful for years to come.

Common Questions

Everything you want to know

Most people do not know the answer yet. That is what we help you figure out. We look at your teeth, gums, bone, and smile. Then we tell you if veneers, crowns, implants, or a mix of treatments makes the most sense. The goal is to give you a strong, natural-looking smile without doing more than you need.

You might be able to. Even if you have bad teeth, missing teeth, old root canals, or dentures, implants may still be an option. We check your health, gums, bone, and habits like smoking. If you need extra steps first, like bone work or gum care, we will tell you before you start.

During the visit, your mouth will be numb, and we can help you feel calm and relaxed. Many people remember little or nothing from the visit. We offer sedation options and watch your breathing, heart rate, and blood pressure the whole time. Afterward, you may feel sore, but most people manage it with medicine and clear care instructions.

Like any surgery, there are risks. You could have swelling, infection, slow healing, or an implant that does not attach to the bone. Rarely, there can be nerve or sinus problems. We use 3D scans to plan carefully, lower the risks, and explain what matters for your case.

Dental implants can last many years, sometimes even a lifetime, if you take care of them. Crowns and veneers can also last a long time, often 10 to 15 years or more. You will need to brush, floss, use the right cleaning tools, and come in for checkups so we can keep everything healthy.

Full mouth treatment costs more because it takes careful planning, surgery, custom teeth, strong materials, and several visits. It is not a quick patch. It is meant to fix bigger problems for the long term. We give you a clear written plan, show you the costs, talk about payment options, and help you understand what makes the most sense for your mouth.

You've waited long enough

Most people put it off for years. Too complicated. Too scary. Not the right time. It's none of those things. Book your free visit below and see for yourself.

I'm ready to smile again
5 stars out of 117 reviews